Возможно, это фото увеличивается по клику:
- T
- T
- T
В настоящее время существуют разные виды диагностики заболеваний, в том числе и при возникших болях в голове. В свете этого рассмотрю, что лучше МРТ или КТ головного мозга при головных болях. Специально для читателей «Популярно о здоровье» представлю эту информацию в подробном виде.
С помощью современных диагностических методов КТ и МРТ доктор сможет получить достаточно полную картину, что происходит в структурах головного мозга, какие патологические очаги сформированы, какие процессы протекают в мозговых тканях. Таким образом, можно достаточно быстро назначить лечение пациенту при диагностированной головной боли.
Действие МРТ основано на так называемом магнитном поле довольно-таки большой мощности, что позволит визуализировать (увидеть) даже незначительные изменения в мозговых тканях. Достаточно хорошо просматривается структура мозга, система кровообращения и прочие жидкие субстанции, а также мягкие ткани. По длительности процедура занимает минут тридцать, что достаточно много, при этом пациенту не следует двигаться, важно лежать спокойно, чтобы обследование прошло эффективно.
Действие КТ основано на действии рентгеновских лучей. Эта методика осуществляется за счет рентгеновского облучения. Происходит исследование костных структур у пациента, а также обследуется глазное дно. Длительность такой диагностической процедуры всего лишь несколько минут, в отличии от обследования МРТ, что важно при острых состояниях, например, при диагностированном инсульте, когда пациенту важно быстро провести обследование.
Преимущества КТ головного мозга
Основным преимущество КТ обследования является быстрота метода и его информативность, что важно для мнительных пациентов, страдающих так называемой клаустрофобией, а также для детей, которые не смогут длительно находиться в спокойном положении. Благодаря КТ можно увидеть такие патологические состояния, которые могут быть причиной головной боли:
• Внутричерепные травмы;
• Сотрясение мозга;
• Проблемы в сосудах;
• Перелом черепа;
• Опухоли злокачественные и доброкачественные;
• Менингит;
• Тромбы;
• Гидроцефалия;
• Инородное тело в ткани головного мозга.
Кроме того, в сравнении с МРТ диагностика КТ стоит гораздо меньше при этом к плюсам этого метода можно причислить наличие у больного в теле каких-либо металлических конструкций: кардиостимуляторы, кроме того, брекеты, которые не помешают проведению обследования.
Недостатки КТ
В первую очередь к недостаткам КТ следует отнести дозы облучения, которые не несут организму пользу. Часто КТ-диагностика осуществляется с введением так называемого контрастного вещества, следовательно, исследование противопоказано больным диабетом, аллергикам. Помимо этого не проводят этот метод при лактации и при беременности, а также при выявленной аллергии на йод.
Плюсы МРТ головного мозга
МРТ считается современным методом диагностики патологии головного мозга при выявленных головных болях. Такое обследование для организма безопасно. Рентгеновские лучи заменяют магнитные поля. МРТ-диагностика поможет определить следующие заболевания:
• Новообразования доброкачественные и злокачественные;
• Гидроцефалия;
• Аневризмы мозга и гематомы;
• Поражение кровеносных сосудов;
• Некоторые формы инсульта;
• Патология гипофиза.
Кроме того, при проведении МРТ-обследования можно установить причины сильных головных болей. К несомненным плюсам относится доступность этого диагностического метода для беременных и для детей.
Минусы метода МРТ
МРТ мозга не следует проводить лицам с так называемой патологической нервозностью, страдающим выраженной клаустрофобией (боязнь замкнутых помещений). Среди абсолютных противопоказаний к проведению этого метода обследования можно отнести такие состояния:
• Наличие в организме человека или на теле каких-либо металлических конструкций, например, брекеты, кардиостимуляторы, а также имплантаты, аппарат Илизарова;
Первый триместр беременности.
МРТ может достаточно тяжело переноситься пациентами, у которых выявлены сильные боли, так как достаточно длительное время необходимо будет находиться в неподвижном положении, чтобы обследование прошло хорошо.
При диагностированных постоянных или сильных головных болях пациенту назначают проведение МРТ или КТ, кроме того, это обследование проводят при подозрении на опухоль, при перенесенном инсульте, а также при тяжелых травмах, при частых обморочных состояниях, эпилепсии, при тугоухости.
Какое исследование будет назначено пациенту МРТ или КТ должен решать лечащий специалист, исходя из состояния больного. Только доктор сможет поставить человеку предварительный диагноз и поможет ему понять, что в данной ситуации важнее магнитно-резонансное обследование или компьютерная томография. Так как у каждого из методов есть свои плюсы или минусы.
Однозначно ответить на вопрос – что же лучше МРТ или КТ – нельзя, так как оба исследования имеют свои показания, а также противопоказания. Но если пациент решит с профилактической целью проверить свой головной мозг, то лучше в таком случае провести МРТ, так как этот метод более безопасный для организма и более информативный.
Заключение
Перед тем как выбирать метод обследования при головной боли, пациенту рекомендуется проконсультироваться с доктором.
Будьте здоровы!
— Уважаемые наши читатели! Пожалуйста, выделите найденную опечатку и нажмите Ctrl+Enter. Напишите нам, что там не так.
— Оставьте, пожалуйста, свой комментарий ниже! Просим Вас! Нам важно знать Ваше мнение! Спасибо! Благодарим Вас!
Источник
Оглавление
- В каких случаях назначают КТ, а в каких МРТ?
- Основные показания для проведения КТ
- Когда лучше делать МРТ?
- Противопоказания
- Преимущества каждого вида томографии
- Преимущества КТ
- Преимущества МРТ
- МРТ мозга или КТ – что лучше?
- Что будет проверяться?
- Когда есть ограничения
- Технические параметры
- Преимущества проведения процедуры в МЕДСИ
Компьютерная томография – это тип анализа, при котором происходит послойное сканирование исследуемого органа пациента. Для его проведения используется томограф. В принципе его действия лежит отражение рентгеновского излучения от тканей и костей. Результат исследования представляется в виде 3D-изображения на мониторе врача, а также может быть записан на диск.
Аппарат для КТ представляет собой стол и круг с подвижными датчиками, которые, вращаясь в процессе исследования, делают снимки с разных ракурсов.
Так как при использовании этого метода пациент получает определенную (но не очень большую) дозу облучения, то данный анализ не стоит проходить часто.
Магнитно-резонансная томография – это обследование, в основе которого лежит эффект магнитного резонанса и электромагнитное излучение, по-разному отражающееся от более или менее плотных тканей.
Для него также используется томограф, но другого, закрытого типа. Он оснащен выдвижным столом, на который укладывают пациента, и трубообразным аппаратом, в который этот стол задвигают.
Это довольно безопасный метод обследования, хотя при его использовании и существует ряд ограничений, в основном связанных с наличием в организме металлических имплантатов.
В каких случаях назначают КТ, а в каких МРТ?
Поскольку в основе обоих типов обследования лежат разные физические и химические явления, то эффективность каждого из них варьируется в зависимости от анализируемых тканей.
Когда врач назначает МРТ мозга или КТ, он руководствуется тем, что именно нужно исследовать. Так, К-томограмма считается более эффективной при обследовании твердых тканей, костей черепа и их нарушений, а МР – для анализа мягких тканей.
Основные показания для проведения КТ
Данный анализ назначают в таких случаях:
- Пациент получил черепно-мозговую травму
- У него постоянные боли головы после удара
- Патологическое изменение костной ткани головы
- Диагностировано сотрясение мозга
- Необходимо подтвердить или опровергнуть наличие кровоизлияния
- Мозговые структуры сместились
- Есть вероятность наличия инородного тела
Когда лучше делать МРТ?
Такое исследование назначают в следующих случаях:
- Подозрение на опухоль
- Регулярные головные боли, головокружения, обмороки
- Пациент перенес инсульт
- Потеряны слух или зрение
- Травмы, гематомы и отеки
- Ухудшение памяти, проблемы с концентрацией внимания
- Невозможность проведения КТ
Также МРТ назначают, чтобы проконтролировать:
- Правильность течения лечения
- Состояние мозга после обнаружения злокачественного образования
- Пред- и послеоперационный контроль
Детям возможно прописывать магнитно-резонансную томографию, если:
- У него были патологии при внутриутробном развитии
- Он отстает от сверстников по различным показателям
- Страдает от судорог, головокружений, потери сознания
- Заикается или имеет другие проблемы с речью
Противопоказания
Оба исследования довольно безопасны, но ряд ограничений по их использованию все-таки существует. О них необходимо помнить, принимая решение о том, какой анализ проводить: МРТ мозга или КТ.
Компьютерную томографию не делают в следующих случаях:
- При беременности пациентки
- При большой массе (более 130 кг) больного
С осторожностью применяют его для кормящих матерей, и если анализ был проведен, то еще сутки нельзя кормить ребенка грудью.
Если исследование будет проводиться с контрастным веществом, то тогда противопоказаний больше:
- Аллергия на йод
- Сахарный диабет
- Эндокринные заболевания
- Проблемы с работой печени и почек
МРТ нельзя проходить тем пациентам, у которых:
- Есть металлические протезы из материалов, которые взаимодействуют с магнитным полем
- Сердечные клапаны и водители ритма
- Металлические зажимы для сосудов при аневризме
- Слуховые аппараты
- Не снимаемые зубные протезы из золота, стали и подобных материалов
Исследование применяется с ограничениями, когда:
- Пациентка в первом триместре беременности
- Больной страдает боязнью замкнутого пространства
- У него есть коронки, брекеты
Также препятствие к обоим исследованиям может стать невозможность пациента пролежать неподвижно в течение нужного времени из-за сильных болей в спине.
Если пациент знает о наличии какого-либо ограничения (установлена беременность, ранее диагностирован диабет, есть металлические имплантаты и тому подобное), он должен заранее сообщить об этом врачу.
Преимущества каждого вида томографии
Чтобы сделать подходящий именно данному случаю выбор между МРТ мозга или КТ, необходимо рассмотреть их назначение и преимущества для конкретного диагноза, а также типы тканей, которые нужно изучить.
Преимущества КТ
Компьютерная томография – один из самых точных способов исследования нарушений, связанных с состоянием мозга. Оно особенно эффективно, если необходимо определить аномалии, возникшие из-за черепно-мозговой травмы, а также иные проблемы с костями и плотными тканями черепа.
Это происходит потому, что рентген-лучи особым образом отражаются от плотных костных тканей. Одновременно с этим, доза облучения, которую получает пациент, гораздо ниже по сравнению с иными рентгеновскими исследованиями. Таким образом можно диагностировать различные заболевания без использования инвазивных методов, что делает процедуру безболезненной.
При помощи КТ можно диагностировать перенесенный инсульт, нарушения артерий при атеросклерозе, изменения в структуре коры головного мозга и поражения лицевых костей. Оно позволяет рассмотреть такие нарушения в мельчайших деталях и выявить причины возникновения заболеваний.
Время проведения процедуры – не более пятнадцати минут. На этом типе анализа нет риска искажения результата в случае, если пациент случайно подвинется.
Пациенты, страдающие клаустрофобией, легко переносят компьютерную томографию, потому что используется открытый аппарат, в который погружается только голова, а не все тело.
Важно, что результат КТ можно рассмотреть сразу же, хотя в некоторых случаях изображение может быть недостаточно контрастным.
Преимущества МРТ
Магнитно-резонансная томография не менее точна, чем КТ, но ее область применения несколько иная. Она позволяет осматривать и диагностировать заболевания мягких тканей мозга и показывает результаты в трех плоскостях:
- Аксиальная (горизонтальная проекция)
- Фронтальная (прямая проекция)
- Саггитальная (боковая проекция)
МРТ позволяет очень четко увидеть проблемы с мягкими тканями: новообразования доброкачественные и злокачественные (рак) (их форму, локализацию и объем), нарушения работы гипофиза, нервные и мышечные волокна. Таким способом можно увидеть и измерить объемы отеков, опухоли нервной системы и другое. Кости же отображаться будут опосредованно.
Этот анализ безопасен, поэтому его можно применять для диагностики беременных пациенток, но только во втором и третьем триместре. Также его разрешено использовать для диагностики детей с трехлетнего возраста. Но ребенку необходимо объяснить, как будет проходить исследование, чтобы он не боялся и старался не двигаться в процессе.
МРТ можно делать несколько раз за небольшой временной отрезок.
Процедура длится около получаса. В этот период требуется, чтобы пациент лежал неподвижно. В противном случае изображение может исказиться, и результат получится недостоверным или неточным.
Для больных с боязнью замкнутых пространств можно использовать наркоз.
МРТ мозга или КТ – что лучше?
Ответ на данный вопрос зависит от конкретной ситуации и индивидуальных особенностей организма:
- Страдание от некоторых заболеваний
- Эндокринных
- Диабета, недугов печени и почек
- Аллергии
- Наличия беременности или периода кормления
- Возраст пациента
- Его масса тела
- Существование в организме металлических предметов (имплантатов, осколков и другого)
Что будет проверяться?
Важно понимать, что именно нужно диагностировать: черепно-мозговую травму или опухоль, сотрясение или отек и воспаление.
МРТ больше подходит для диагностики нарушений в мягких тканях: составе тканей головного мозга, сосудах, наличия новообразований различного характера, отеков и аневризм.
КТ помогает определить проблемы, возникшие в результате травмы: переломы костей черепной коробки, лицевых, кровоизлияния, инсульт.
Когда есть ограничения
Магнитно-резонансную томографию можно делать беременным (исключая первый триместр) и детям от трех лет и старше. Для ребенка можно использовать наркоз, так как он не всегда способен быть неподвижным в течение длительного промежутка времени.
К-томограмма для детей и беременных исключена, кроме случаев, когда от ее проведения зависит жизнь пациента, и никакими другими средствами помочь нельзя, поскольку при проведении процедуры пациент получает дозу рентгеновского излучения.
Больному с нервными нарушениями также бывает тяжело находиться неподвижным необходимый промежуток времени. И в этой ситуации тоже возможно использование наркоза.
Людям, у которых есть металлические предметы в организме, а также электронные водители ритма или сердечные клапаны, делать МРТ противопоказано, поскольку такие вещи вступают в магнитное взаимодействие с аппаратом. Из-за этого может произойти как искажение результатов, так и ухудшение состояния больного. Исключение составляют штифты, коронки, снимаемые брекеты и изделия из неинертных материалов (титан и другие). В таком случае пациенту лучше пройти КТ мозга или подобный анализ.
Компьютерную томографию могут без дискомфорта проходить пациенты, у которых клаустрофобия, так как им не нужно полностью ложиться в аппарат. Если такому больному необходимо сделать МРТ, то придется использовать наркоз, что серьезно влияет на любой организм.
Ограничения по массе пациента отличаются не очень сильно, но в некоторых случаях этот фактор может сыграть свою роль: К-томограф позволяет делать анализу пациенту до 130 килограмм, а МР-аппарат – до 150.
КТ с контрастом нельзя проводить людям, у которых диагностирована аллергия на йод и иные составляющее вводимого вещества, а также тем, у кого есть сахарный диабет и иные почечные заболевания. В таком случае необходимо провести иной анализ.
Технические параметры
МРТ дает чрезвычайно четкое изображение, за исключением костей, в виде проекций с разных ракурсов; КТ же – «картинку» менее четкую, но одновременно структура костей на ее результатах видна хорошо, а изображение представлено на мониторе в виде 3D-модели.
Другой важный момент – количество времени, которое необходимо провести в аппарате. Для КТ оно составляет от 5 до 15 минут, для МРТ – порядка получаса. В этот промежуток пациент должен быть максимально неподвижен. Но для результатов компьютерной томограммы не столь критично, если больной немного сдвинется. В данные же магнитно-резонансного исследования такое движение может привнести серьезное искажение.
КТ помогает поставить срочный диагноз в случае, если пациент серьезно травмирован, и у него присутствуют симптомы кровоизлияния в мозг.
Для выбора наиболее результативного метода обследования (МРТ мозга или КТ) необходимо обращать внимание на множество факторов. Это способен сделать квалифицированный врач. Пациент обязан рассказать всю информацию, которая поможет в этом.
Преимущества проведения процедуры в МЕДСИ
- Клиники МЕДСИ располагают новейшим оборудованием, что позволяет получить наиболее точные результаты
- Врачи-рентгенологи, онкологи, хирурги и другие профессионалы высших квалификационных категорий берутся за самые сложные и редкие случаи
- Записаться на консультацию и узнать подробности легко – для этого нужен лишь один телефонный звонок по номеру 8 (495) 7-800-500
- В МЕДСИ Вам помогут подобрать нужное обследование (в том числе МРТ мозга или КТ), лечение и, при необходимости, реабилитационные меры
Источник
МРТ при головных болях (в трех проекциях): специальная программа выстраивает объемные изображения полученных срезов, что позволяет увидеть даже мельчайшие изменения и отдифференцировать патологию от нормы
Причин головной боли множество, и их не всегда возможно определить без помощи современных способов визуализации. Цефалгию вызывают: повышенное внутричерепное давление, сосудистые мальформации, опухолевые процессы, постравматические осложнения. Какую МРТ делать при головной боли или предпочтительней пройти КТ — зависит от предполагаемого характера патологии. Все методы являются взаимодополняющими, но что лучше в конкретном случае, выбирает врач с учетом жалоб, показаний и противопоказаний. МРТ и КТ с контрастным усилением позволяют получить сопоставимые по качеству снимки, но при этом используют разные принципы построения изображений. Чем раньше будет найдена причина и проведено адекватное лечение, тем больше шансов на полное выздоровление.
Какую МРТ делать при головных болях?
Выделяют несколько видов магнитно-резонансной томографии головы: нативную, усиленную контрастным препаратом и сканирование в ангиорежиме. К каждому исследованию есть свои показания, поэтому ответить на вопрос: “Какую МРТ делать при головной боли?” — не всегда возможно. Врач выбирает нужный тип диагностики, опираясь на клиническую картину. В оценке опухолевых новообразований и для определения стадийности (в том числе — метастатического распространения) используют МРТ с контрастированием. Введение препаратов на основе хелатов гадолиния позволяет рассмотреть даже небольшие опухоли в труднодоступных местах, поэтому магнитное сканирование с усилением с успехом применяют, если прочие способы визуализации показали неоднозначные результаты. При подозрении на сосудистое заболевание головного мозга оптимальным выбором будет проведение сканирования в ангиорежиме.
Причины головной боли
Необъяснимая цефалгия, возникающая регулярно и ухудшающая качество жизни не есть норма. Сильная боль -веский повод сделать МРТ головного мозга и не заниматься самолечением
Любая повторяющаяся головная боль — сигнал о патологическом процессе, который требует уточнения. Принимать самостоятельно таблетки для купирования симптоматики — не самый разумный вариант, потому что препараты устраняют следствие, но не влияют на причину цефалгии. Бесконтрольное лечение имеет ряд осложнений: доказано, что некоторые анальгетики способствуют развитию злокачественных новообразований в почках и мочевом пузыре. Длительный прием лекарств может привести к нефропатии с гибелью ренальных структур и развитию ХПН (хронической почечной недостаточности).
Если болит голова, что может показать МРТ головного мозга:
-
опухолевые процессы доброкачественного или злокачественного генеза;
-
последствия травм (гематомы, кровоизлияния);
-
демиелинизацию при рассеянном склерозе и иных атрофических процессах;
-
инфекционные поражения;
-
аневризмы, диссекции, стенозы и сосудистые мальформации, включая врожденные аномалии развития кровеносного русла;
-
дегенеративные процессы в сосудах на фоне генерализованного атеросклероза;
-
острые (ишемический или геморрагический инсульт) и хронические нарушения мозгового кровообращения.
Причиной ноющей боли в затылочной зоне при нормальном артериальном давлении чаще является остеохондроз. При повышении температуры, выраженной слабости, напряжении мышц необходимо исключить менингит. Внезапное развитие острого болевого синдрома в области затылка с последующим его распространением на другие зоны головы подозрительно на субарахноидальное кровоизлияние (разновидность инсульта).
Частые головные боли
Онкологи считают, что при нарастающих головных болях с прочими необъяснимыми симптомами (обмороками, ухудшением памяти, выпадением полей зрения, давлением на глазные яблоки и др.) в первую очередь следует исключить опухолевую патологию
Частые головные боли вызывают разные причины. Иногда так проявляется серьезное заболевание. В 90% случаев после определения генеза возможно адекватное лечение, которое улучшит качество жизни. Состояния, для которых типична цефалгия::
-
мигрень;
-
гипертония;
-
посттравматические осложнения;
-
опухоли;
-
сосудистые заболевания.
Если причина не установлена, обосновано прохождение МРТ головы при головных болях. Не стоит подозревать у себя смертельную патологию. Например, если болит затылок, возможной причиной является переутомление, а нормализация режима труда и отдыха поможет справиться с проблемой. При повышенном давлении часто присутствует головокружение, покраснение кожных покровов, шум в ушах. Боль в лобной части головы вторична и проходит после приема гипотензивного лекарства. Но гипертония может быть связана с патологией сосудов или опухолевой компрессией, поэтому прохождение МРТ при сильных головных болях — важный аспект в дифференциальной диагностике.
Если делать МРТ, когда не болит голова
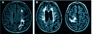
Множественные ишемические очаги при сосудистой деменции на МРТ: отсутствие памяти на недавние события и неадекватное поведение не являются признаками старости, своевременная диагностика деменции и патогенетическая терапия помогут замедлить прогрессирование болезни
МРТ — обследование, которое проводят не только при головной боли. Магнитно-резонансная томография поможет установить причины следующих жалоб:
-
необъяснимые с помощью первичной диагностики кратковременные потери сознания;
-
мелькание мушек перед глазами, прогрессирующее ухудшение зрения (в составе комплексной офтальмологической диагностики);
-
повышение артериального давления, устойчивость к приему гипотензивных препаратов;
-
периодическая тошнота, рвота при обнаружении изменений глазного дна (признаки повышенного внутричерепного давления);
-
эпилептические припадки;
-
ухудшение памяти, слабоумие (деменция);
-
постоянный шум в ушах;
-
дискоординированность движений (шаткая походка, подволакивание нижних конечностей и пр.);
-
головокружение.
Врач определяет не только вид обследования, но и его объем. Иногда требуется дать оценку не только структурам мозга, но и воротниковой зоны: голова может кружиться и болеть при шейном остеохондрозе, грыже, воспалении нерва и пр.
МРТ головного мозга — необходимость при некоторой эндокринологической патологии, так как гормональные нарушения могут быть обусловлены сдавлением опухолью важных структур, отвечающих за деятельность желез. Томограммы показывают изменения со стороны гипоталамуса и гипофиза. МРТ при головных болях и головокружении, при подозрении на опухоль или сосудистые патологии можно пройти в диагностическом центре “Медицина Северной столицы”.
Виды головной боли
Боль при шейном остеохондрозе изначально возникает в затылке, а по мере прогрессирования патологии распространяется на лобно-височную область головы
Болевой синдром при различных патологиях имеет разную интенсивность, локализацию, длительность и может сопровождаться рядом других неприятных симптомов: тошнотой, выпадением полей зрения, потерей сознания и пр. Цефалгия развивается самостоятельно или сопутствует какому-либо состоянию. Специалисты едины во мнении: если регулярно беспокоит ноющая, мигренеподобная, распирающая и другая головная боль в темечке, затылке, висках, следует обратиться на очную консультацию и пройти первичную диагностику:
-
общий анализ крови;
-
тонометрию (измерение артериального давления);
-
УЗДГ сосудов головы и шеи;
-
рентгенографию костей черепа.
Не всегда данные обследования способны выявить органическую причину, поэтому возникает необходимость сделать МРТ головы. Томограммы позволяют предположить доброкачественный или злокачественный генез поражения, но окончательная верификация диагноза происходит только при морфологическом исследовании (кусочек ткани с подозрительного участка оценивают гистологи под микроскопом).
Головная боль после МРТ
Не стоит бояться прохождения обследования: страхи иррациональны, а головная боль после МРТ — реакция на стресс или симптом заболевания, по поводу которого и проводится диагностика
МРТ — неинвазивный способ обследования, в основе которого лежит построение изображений с помощью радиоволн и мощного магнитного поля, что абсолютно безопасно для здоровья. Головные боли после МРТ могут обуславливаться нервным перенапряжением в ожидании результата и являются индивидуальной реакцией человека на стрессовую ситуацию. Магнитно-резонансное сканирование длится около 30-40 минут, важна максимальная неподвижность пациента. Шум работающей аппаратуры по желанию можно нейтрализовать с помощью наушников с музыкой. Каких-либо болевых ощущений в ходе диагностической процедуры нет. При необходимости отслеживания ситуации в динамике возможно повторное прохождение МРТ. Некоторые впечатлительные пациенты отмечают усиление головной боли после исследования, но специалисты считают, что это связано с основным заболеванием или самовнушением. Цефалгией функционального или психогенного генеза занимаются неврологи, психиатры или терапевты, МРТ помогает установить изменения органического характера.
Что покажет МРТ головы с контрастом
После контрастирования при МРТ детализация мелких структур значительно выше. Магнитно-резонансную томографию с усилением предпочитают онкологи, так как можно увидеть контуры опухоли, определить степень ее инвазии (прорастание в близлежащие ткани), диагностировать метастазы. МРТ с введением контраста лучше показывает изменения после операции, патологические очаги в головном мозге на фоне рассеянного склероза, при болезни Альцгеймера. Чаще используют препараты на основе хелатов гадолиния. Мировая практика подтверждает высокий профиль безопасности: при грамотном применении осложнения встречаются крайне редко.
В каких случаях противопоказаны МРТ и КТ
МРТ и КТ не назначают на раннем сроке гестации (до 12 недель), но если есть веские показания (состояния, угрожающие жизни), обследование по направлению консилиума возможно. Магнитно-резонансное сканирование противопоказано, если ранее выполнены операции по установке электронных устройств или ферромагнитных имплантов. Относительное ограничение для диагностической процедуры — клаустрофобия или невозможность в силу каких-либо причин лежать неподвижно. Этим пациентам МРТ при головной боли и головокружении выполняют в стационаре с предварительным введением лекарств, способствующих седативному сну.
КТ с контрастным усилением проводят только по направлению, так как противопоказаний к данному обследованию, по сравнению с МРТ, больше:
-
аллергия на йод;
-
сахарный диабет (прием Метформина и аналогов);
-
гиперфункция щитовидной железы;
-
заболевания почек с повышением уровня креатинина крови;
-
беременность на любом сроке.
Пациентам, страдающим сахарным диабетом, следует прекратить прием Метформина за 48 часов до диагностической процедуры, по предварительному согласованию с эндокринологом. Кормящим мамам рекомендуют сделать запас молока на два последовательных кормления.
Современные способы визуализации в большинстве наблюдений дополняют друг друга, МРТ или КТ делать при головной боли, зависит от конкретной ситуации. Чтобы избежать ненужной диагностики, лучше, если исследование выберет врач.
Источник






