Киста зуба: как решить проблему?
Неожиданная боль в визуально здоровом зубе вызывает недоумение, а с появлением гнойных образований, отечности десны становится ясно, что поход в стоматологическую клинику неизбежен.
В большинстве случаев болезненные ощущения вызывает киста зуба. которая представляет собой воспалительное образование, образовавшееся вследствие механической травмы или проникновения бактерий. Оболочка опухоли состоит из двух слоев: внешнего и внутреннего. В свою очередь наружный выстлан соединительной тканью, а плоский эпителий выстилает внутренний слой.
Киста зуба: причины, вызывающие появление образований
Не секрет, что редкие визиты к стоматологу и кариес способствуют проникновению болезнетворных бактерий в ткани зуба. Халатное лечение каналов, прогрессирующий кариес, хронические заболевания носоглотки или в ротовой полости провоцируют возникновение и развитие кист.
Наиболее часто встречающими причинами являются:
- механические повреждения, которые получают не только в процессе драки, но и дома;
- инфекция (гайморит, невылеченный кариес, воспалительные процессы в подкоронковой области);
- нарушения своевременного развития зубов;
Некорректноее лечение зубных каналов или непрофессионально подобранные коронки для зубов.
Киста зуба: последствия, губительные для организма
Развитие кисты чревато осложнениями, которые выливаются в периодонтит. гнойные воспаления, флюс, сепсис или разложение костных тканей. Во избежание таких губительных последствий следует посещать стоматолога. Данная рекомендация успела набить оскомину и, зачастую, к ней относятся халатно, поскольку считают прописной истиной. В большинстве случаев именно соблюдение простых правил поможет избежать проблем.
Зуб с кистой не всегда дает о себе знать посредством болезненных ощущений, вследствие чего самостоятельная диагностика является неинформативной. Когда гранулема сформировалась, выявить проблему поможет гистологический анализ или рентген.
Киста зуба в гайморовой пазухе: причины появления и способы устранения проблемы
Данная разновидность кист является патологией, диагностировать истинные причины появления которой, способен выявить только компетентный врач. Зачастую киста зуба в гайморовой пазухе возникает из-за наличия хронической инфекции в ротовой полости. Также разрушительные процессы в больных зубах способствуют распространению инфекции.
Гайморит, который представляет собой воспалительный процесс в слизистой оболочке верхнечелюстной пазухи, провоцирует появление кист на передних зубах. Инфекция перемещается по кровотоку, в результате чего киста растет, образовывает водянистую плоть и уменьшает количество костной ткани.
У малышей, особенно новорожденных, в процессе роста молочных зубов появляются нарывающие кисты. Подобное явление имеет место в том случае, когда в пластинах десен (области, в которых прорезаются молочные и постоянные зубы) появляются гнойные опухоли. Их остатки становятся средой для образования кист. По ошибке или незнанию нарыв можно принять за прорезающийся зуб, поскольку для оболочки кисты характерен белесый цвет.
Задаваясь вопросом: киста зуба, что делать – нужно помнить, что использовать методы нетрадиционной медицины или надеяться на то, что пройдет само, не стоит. Время – лучший помощник, но оно же и враг. Не откладывайте поход к врачу – возможно проблему удастся решить с наименьшими последствиями и сохранить зуб.
Киста зуба: симптомы
Образование растет медленно и на первых порах не проявляет себя каким-либо образом. Наиболее простой способ обнаружить кисту – сделать рентгенографию челюсти, в результате на снимке будет видно темное затемнение с четко выраженными краями. Проблему следует ликвидировать, иначе начнется разрушение кости или серьезное инфицирование. В случае если защитные свойства иммунитета падают, и организм находится в подавленном состоянии, киста начинает активно развиваться.
Поскольку развитие воспалительного процесса происходит бессимптомно лечения затягивается до того момента, пока флюс или боль при надкусывании пищи не укажут на очаг. Именно поэтому стоит уделять внимание состоянию зубов, следить за появлением неожиданных ощущений. Наиболее характерными симптомами являются:
- головная боль;
- появления гнойных очагов;
- повышение температуры тела;
- воспаление костной ткани и надкостницы;
- выпадение зубов в зараженной области;
- увеличение лимфоузлов;
- появление свищевых ходов;
- рак;
- появление доброкачественных опухолей.
Что делать, если обнаружена киста на корне зуба
В сравнении с обширным перечнем стоматологических заболеваний киста зуба отличается особой болезненностью и сложным лечением, которое может потребоваться неожиданно. Бессимптомное развитие болезни чревато тем, что инфекция, которая просочилась в околокорневое пространство или пульпу, разрушительно воздействует на корни зубов.
Затаившаяся киста корня зуба может неожиданно начать прогрессировать вследствие стресса, сезонной простуды ил переохлаждение. Обнаружить инфекционный очаг заболевания самостоятельными усилиями невозможно, поэтому при малейшем дискомфорте в ротовой полости, отеке тканей, неприятном запахе следует отправляться к врачу. Если страх не дат возможности рассуждать здраво – записывайтесь в частную клинику по одной простой причине – обследование и лечения на новейшем прогрессивном оборудовании является абсолютно безболезненным.
Киста зуба: лечение и профилактика
Существует два метода устранения осложнений и ликвидации кисты зуба: хирургический и терапевтический. В первом случае удаляют пострадавшие верхушки корней, замещая их искусственными материалами, однако сам зуб остается целым. Такая операция получила название резекция зубов. При терапевтическом подходе к лечению кисты корневой канал зараженного зуба промывается лекарственными препаратами, после чего он цементируется. Подобный подход актуален в том случае, если киста зуба не достигла в диаметре более 8 мм.
Достоверно известно, что гораздо проще, дешевле и безболезненнее предотвратить развитие кариеса и появления кисты на зубе, чем заниматься лечением в кабинете стоматолога. Тщательная очистка ротовой полости дважды в день, полоскание специальным раствором после каждого приема пищи #8212; эти и другие элементарные правила личной гигиены способны предотвратить множество проблем. За последние десятилетия стоматология настолько шагнула в период, что опасения по поводу болезненных процедур уже давно канули в Лету. Будьте благоразумны и берегите зубы.
Лечение кисты зуба лазером
Наиболее современным методом удаления кисты зуба является лазер. Врач назначает операцию, в процессе которой через зубной канал в кисту вводится лазер. С помощью луча дезинфицируется зубной корень и уничтожается новообразование. Удаление кисты зуба проходит бессимптомно, без крови и болей, а полная стерилизация корней свести вероятность появления болезнетворных микроорганизмов к минимуму. Реабилитационный период занимает от нескольких часов до одного-двух дней.
Что такое зубная киста?
Зубная киста относится к заболеваниям, которые могут долгое время себя ничем не проявлять. Но при этом она представляет серьезную угрозу для здоровья человека. В наше время зубная киста встречается достаточно часто. Поэтому важно вовремя обратиться за помощью к стоматологу и пройти необходимое лечение. Рассмотрим, какие основные причины возникновения данной патологии, ее симптомы, а также методы лечения зубной кисты.
Виды и причины возникновения зубной кисты
Что же собой представляет киста зуба? Зубная киста — это патологическая полость, имеющая плотные стенки. Такая полость заполнена кашицеобразным или жидким содержимым, состоящим из бактерий и погибших клеток. Стенки кисты вырабатывают жидкость, в результате чего патологическая полость постоянно увеличивается. Зубы, которые попадают в полость кисты, как правило, выпадают.
В зависимости от причины возникновения, различают следующие виды зубной кисты:
- Фолликулярная – образуется из оболочки фолликула, которая окружает коронку зуба. Она появляется в результате инфицирования при прорезывании зуба.
- Корневая (радикулярная) – развивается при хроническом воспалении периодонта (ткани, которые окружают корень зуба). Это наиболее распространенный вид кисты зуба.
- Ретромолярная (парадентальная) – формируется при затруднении прорезывания зуба мудрости и хроническом воспалении десны. Чаще всего диагностируется ретромолярная киста зуба мудрости на нижней челюсти.
- Кератокиста (первичная) – развивается вследствие нарушения процесса развития и роста зуба.
- Резидуальная – сохраняется в кости после удаления зуба.
К основным факторам, которые провоцируют возникновение зубной кисты, относятся инфекционные заболевания зубов, носоглотки, механические повреждения зубов и челюсти, нарушения нормального развития и роста зубов, неправильно подобранные коронки, недолеченные зубные каналы.
Симптомы и осложнения при развитии кисты
Такая патология, как киста зуба, отличается особым коварством. Ее развитие обычно протекает практически бессимптомно. Мало того, что киста «подтачивает» корни зубов, периодически инфекция активизируется, что значительно ухудшает общее самочувствие человека. Обострение патологии провоцируется простудой, стрессом, снижением иммунитета, повышенной физической или умственной нагрузкой.
Как правило, зубную кисту обнаруживают случайно при стоматологическом осмотре. Только если размеры кисты превышают 2 см, она может проявляться следующими симптомами:
- появление боли при надкусывании пищи;
- отечность десны в области развития кисты;
- зубная боль при кисте распространяется на всю десну;
- повышение температуры тела;
- ухудшение общего самочувствия;
- головная боль;
- зубная боль при кисте имеет ноющий, тянущий характер, постоянно увеличивающуюся интенсивность;
- появление нагноения десны, флюса;
- увеличение шейных лимфатических узлов.
Основным симптомом развития заболевания является распирающий характер зубной боли при кисте.
В случае если не проведено своевременное лечение кисты зуба, могут возникнуть тяжелые последствия. Чаще всего такая патология приводит к появлению гнойных очагов в ротовой полости, воспалению костной ткани и накостницы челюсти, выпадению зубов в месте развития кисты. В некоторых случаях отсутствие лечения зубной кисты способствует развитию острого гнойного воспаления мягких тканей лица и шеи, перелому челюсти, возникновению заражения крови. Известны случаи, когда запущенная киста зуба провоцировала формирование доброкачественной опухоли.
Лечение зубной кисты
Если стоматолог подозревает наличие кисты у пациента, он направляет его на рентген. При подтверждении диагноза врач выбирает методику лечения зубной кисты. Существуют терапевтические и хирургические методы лечения данного заболевания. Как правило, терапевтические методы применяют в начальной стадии развития кисты.
Наиболее распространенный метод лечения кисты зуба состоит в следующем. Врач рассверливает больной зуб и прочищает весь корневой канал. Через получившийся ход содержание кисты извлекается. Затем стоматолог промывает корневой канал специальным раствором и вводит в него антимикробные препараты, которые разрушают оболочку кисты. После того, как кистозная полость будет полностью очищена, ее заполняют специальной пастой. Такая паста способствует быстрой регенерации поврежденной ткани. Затем зуб пломбируют. Эффективность данного метода лечения составляет около 70%.
Более современным методом лечения кисты является депофорез. При его применении в расширенный канал зуба вводят гидроокись меди и кальция. Затем на вещество воздействуют слабым электрическим током. Под его действием вещество проникает во все недоступные для бормашины уголки и активно уничтожает инфекцию и поврежденные клетки. Таким образом, уничтожается инфекция не только в рассверленном канале, но и в других каналах зуба. Обычно после трех сеансов депофореза на очищенный зуб ставят пломбу. Эффективность этого метода лечения зубной кисты – 95%.
Удаление зубной кисты проводится в тех случаях, когда терапевтические методы невозможны. В большинстве случаев определения кисты на поздней стадии проводится ее удаление.
Различают три основных способа удаления зубной кисты.
Наиболее часто применяют цистэктомию – удаление самой кисты и поврежденной части зубного корня. При этой операции зуб сохраняется.
В некоторых случаях проводят цистотомию – частичное удаление оболочки кисты и последующая откачка гноя из нее. Такую процедуру проводят при больших размерах кисты или в случае, когда ее гнойное содержимое препятствует заживлению.
Еще один метод удаления зубной кисты – гемисекция. Во время данной операции проводят удаление кисты, поврежденного корня и части зуба. После такой процедуры необходима последующая реставрация зуба.
Способ удаления зубной кисты определяется врачом индивидуально для каждого пациента, в зависимости от степени развития патологии, состояния больного и некоторых других факторов.
Киста зуба: симптомы
Специфика заболевания такова, что первое время оно может протекать абсолютно бессимптомно. Тем не менее, практика показывает, что в большинстве случаев кисту можно своевременно диагностировать.
Первичные симптомы
Известно, что киста образуется в результате травматического воздействия или инфекции (например, если стоматолог не до конца запломбирует зубной канал). Нередко заболевание возникает на фоне частых гайморитов и синуситов. Поэтому первичная диагностика, как правило, возможна только при условии посещения стоматолога и проведения рентгенограммы. В начале заболевания пациент может чувствовать только дискомфорт при жевании или надкусывании твердой пищи. Впрочем, киста может вообще не проявлять себя в течение длительного времени.
Вторичные симптомы
Со временем появляются периодические боли в области поврежденного зуба. Костная ткань зуба начинает остро реагировать на горячее и холодное. Также боль возникает в процессе употребления сладостей и твердой пищи.
Однако со временем эти боли могут пройти, усыпив бдительность пациента, а заболевание тем временем перейдет в самую последнюю – острую стадию, которая нередко требует оперативного вмешательства в процессе лечения.
Признаки острой стадии
В этом случае пациент жалуется на острую боль. Нередко она возникает в тех случаях, когда организм человека ослаблен. Перенесенные заболевания инфекционного генезиса, рецидив хронических внутренних болезней, прием агрессивных препаратов – все это провоцирует воспаление в районе поврежденного зуба.
Среди ярко выраженных признаков заболевания следует выделить:
- развитие лицевого отека (страдает сторона лица, на которой расположен поврежденный зуб);
- повышение температуры тела (обусловлено развитием гнойного процесса в пораженной костной ткани);
- головные боли (иногда сопровождаются повышением давления);
- потеря аппетита;
- болезненные ощущения в области, прилегающей к поврежденному зубу и, непосредственно, в самом зубе.
Эти признаки свидетельствуют о поздней стадии развития заболевания.
Самостоятельное выявление симптомов
Пациенты, не желающие проходить ежеквартальный осмотр у стоматолога, должны тщательно следить за состоянием своей ротовой полости. Ведь кисту провоцирует невылеченный или плохо залеченный кариес. Поэтому, дабы предупредить развитие патологии и, связанных с ней, осложнений, необходимо обращать внимание на проявление следующих симптомов:
Гипертоник со стажем Олег Табаков поделился секретом своего выздоровления.
- потемнение костной ткани зуба;
- небольшое смещение зуба;
- легкий дискомфорт в процессе пережевывания твердой пищи;
- частичное выпадение пломбировочного материала, нередко сопровождающееся отколом костной ткани;
- периодические головные боли.
Особенности кисты зуба, связанные с ее симптоматикой
Главная проблематика возникновения кисты связана с ее медленным ростом. Поэтому первые симптомы могут начаться только после того, как заболевание начало разрушать челюстную ткань и зубные корни. Потемнение и небольшое смещение зуба возникают тогда, когда киста уже достигнет размеров от 2 до 3 см.
Чем больше киста – тем ярче выражены симптомы. Очень часто пациент жалуется на увеличение лимфатических узлов, ошибочно полагая, что это является признаком какого-нибудь эндокринного или инфекционного заболевания.
Хроническая усталость, проблемы со сном, слабость, частые простуды – все это должно быть поводом осмотра у стоматолога. Ведь внешнее проявление болезни – нагноение, отек, возникновение флюса или свищевого хода – говорит о том, что киста достигла очень больших размеров.
В случае проявления вышеперечисленных признаков не стоит заниматься самолечением или ждать пока боль пройдет сама по себе. Ведь своевременное лечение у стоматолога не только избавит пациента от неприятной операции, но и поможет сохранить зубы.
Комментариев пока нет!
Источник
Что это такое
В переводе с греческого слово «киста» обозначает пузырь. На самом деле это ни что иное, как плотное образование, заполненное жидким содержимым, в основном погибшими бактериями и клетками эпителия. Она может быть различных размеров — от нескольких миллиметров до нескольких сантиметров. Небольшая киста зуба или гранулема обычно имеет размеры до 0,5 сантиметра. Однако если не заняться своевременно ее лечением, она начинает расти и стремительно увеличиваться в размерах.
Киста корня зуба возникает чаще всего в результате попадания инфекции в корневые каналы. Внутри болячки протекает воспалительный процесс, распространению которого препятствуют толстые стенки кисты. В результате постоянного роста этой болезни зуба происходит замещение костной ткани вокруг корня, что серьезно угрожает здоровью пациента.
Ошибочным является предположение, что киста не опасна — на самом деле она может вызвать очень серьезные осложнения, вплоть до перерождения в раковую опухоль.
Часто пациенты интересуются, как быстро растет киста зуба. Спешим успокоить — она не возникает изо дня на день, она долго формируется, растет, поэтому при систематическом осмотре у стоматолога есть все шансы вовремя распознать образование заболевания.
Причины появления
Причины кисты могут быть самыми разнообразными, начиная от попадания внутрь канала инфекции и заканчивая неудачной травмой зуба или челюсти.
Причины:
- травма зуба;
- из-за попадания внутрь корневого канала инфекции в результате некачественного лечения;
- в результате недобросовестного эндодонтического лечения;
- из-за перенесенного заболевания, при котором болезнетворные бактерии попали внутрь десны вместе с кровотоком;
- как осложнение хронического гайморита;
- наличие хронических воспалительных процессов под коронкой;
- в результате наличия у пациента хронического периодонтита;
- после сложного прорезывания зубов мудрости.
Однако, несмотря на довольно внушительный перечень причин, на самом деле все они сводятся к двум главным — инфицированию корневых каналов и травмированию зуба или челюсти. Поэтому следует избегать ситуаций, при которых возможно травмирование. Не следует, к примеру, разгрызать скорлупу орехов, так как частые микротравмы также могут спровоцировать образование кисты. Доверяйте лечение своих зубов только опытным профессионалам, чтобы не стать жертвой некачественного лечения, в результате которого внутрь корневых каналов проникла инфекция, вызывая воспалительный процесс, который со временем может привести к заболеванию.
Симптомы
Особое коварство и опасность заболевания заключаются в том, что первые признаки кисты зуба обычно возникают уже тогда, когда она достигает больших размеров. Как правило, на ранних стадиях заболевание протекает бессимптомно, ничем не проявляя себя. При этом, чем раньше удастся обнаружить заболевание, тем проще и эффективнее его лечение. Поэтому пациент должен тщательно следить за состоянием своих зубов и десен и обращать внимание на отклонения от нормы, при первых же тревожных симптомах записываясь на прием к стоматологу.
Киста зуба верхней или нижней челюсти образуется не за один день и даже не за одну неделю. Поэтому у пациента обычно бывает достаточно времени, чтобы обратить внимание на симптомы, доставляющие беспокойство. Обратите внимание на следующие признаки:
- неприятные ощущения при надкусывании твердой пищи;
- образование бугорка на десне на проекции корня зуба, который со временем увеличивается в размерах и выпячивается;
- болевые ощущения в процессе приема пищи;
- общая слабость и недомогание, повышение температуры тела;
- образование флюса или свищевого хода.
Большинство симптомов появляются уже на поздней стадии формирования кисты, когда она достигает довольно больших размеров и прорастает с корнями в гайморовой пазухе, являясь причиной сильнейших головных болей.
Зубная боль при кисте обычно не столь интенсивна, как при кариесе и появляется на поздних стадиях заболевания. Воспаление вызывает более ярко выраженные симптомы — такие, как сильная боль в пораженном зубе, формирование острого воспалительного процесса, флюса. Обычно именно при обострении кисты на нее обращают внимание.
Сильно разросшаяся киста вызывает давление на окружающие ткани, вызывая неприятные ощущения при надавливании на десну или при откусывании твердой пищи.
Единственным надежным способом диагностики — рентгенография. Очень часто бывает, что кисту обнаруживают случайно, делая рентгенограмму и обнаруживая новообразование.
Последствия появления
Последствия могут быть самыми разнообразными, начиная от разрушения корней зубов и заканчивая образованием раковых опухолей. Периодически десневая киста активизируется, воспаляется, на щеке образуется флюс, общее состояние пациента резко ухудшается, появляются сильные зубные и головные боли. Причем толчком к обострению заболевания может стать даже банальное переохлаждение, перенесенная простуда или сильный стресс.
Если кисту своевременно не обнаружили и она сильно разрослась, разрушив при этом челюсть, может случиться даже самопроизвольный перелом челюсти. К счастью, такое случается крайне редко, и избежать таких последствий можно систематически обращаясь к стоматологу и проверяя состояние своих зубов.
Если в полость кисты проникают гноеродные бактерии, может возникнуть острый воспалительный процесс, который грозит возникновением остеомиелита, формирует свищ на десне или щеке, через который происходит отток гнойного экссудата.
Пациенты также интересуются, может ли возникнуть злокачественная киста зуба. На самом деле, она является доброкачественным образованием и сама по себе не представляет прямой угрозы жизни пациента. Но со временем при отсутствии лечения она может спровоцировать онкологию. Поэтому не следует легкомысленно относиться к образованию гранулемы или кисты.
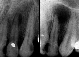
Как выглядит киста на снимке
Как уже было сказано, единственным надежным методом диагностики кисты является рентгенографическое исследование. На снимке она выглядит как темное округлое или овальное пятно, которое четко очерчено. Обычно расположена у верхушки корня зуба. Ошибиться с диагнозом просто невозможно, даже начинающий врач-стоматолог легко сможет распознать болезнь на рентгене.


Единственное исключение представляет киста зуба, которую не видно на рентгене. Обычно так бывает, если не весь корень зуба попал в поле видимости рентгеновского снимка, и расположена частично за гранью снимка. В этом случае, если у врача возникают подозрения на наличие кисты или гранулемы, следует сделать повторный снимок, который бы полностью отобразил всю корневую систему подозрительного зуба, а также соседних.
Осложнения
Своевременно не обнаруженная киста со временем разрастается, разрушая костную ткань и замещая ее образованиями из соединительной ткани. В этом случае осложнения могут привести к его потере. Чаще всего стоматологи фиксируют следующие осложнения:
- расплавление костной ткани челюсти;
- гнойное воспаление кисты;
- воспаление лимфатических узлов;
- хронический гайморит;
- остеомиелит или периостит;
- образование абсцесса на десне или на щеке;
- самопроизвольный перелом челюсти в результате сильного разрастания кисты и истончения кости;
- флегмона шеи;
- сепсис.
Как видим, некоторые осложнения напрямую угрожают жизни пациента. Поэтому если у вас болит киста зуба, следует немедленно обратиться к стоматологу — возможно, у вас начинается гнойное воспаление.
Если у пациента диагностирована киста зуба, и он жалуется на запах гноя в носу, это может быть признаком как начала гнойного воспалительного процесса, так и того, что болезнь проросла в гайморовы пазухи. В любом случае, следует немедленно обратиться к врачу.
Профилактика
К сожалению, в природе не существует каких-либо специфических профилактических мер, следование которым могло бы полностью обезопасить пациента от образования зубной кисты. Однако, следование некоторым советам все же поможет существенно снизить риск образования заболевания.
- Систематически два раза в год посещайте стоматолога и не отказывайтесь от рентгенологического обследования, если врач настаивает. Помните: кисту можно обнаружить только при помощи рентгеновского снимка.
- Необходимо следить за здоровьем своих зубов. Не следует допускать образования хронических воспалительных процессов.
- Не допускайте травмирования зубов и челюсти.
- Внимательно относитесь к появлению любых неприятных ощущений во рту, даже если боль кратковременная или несильная.
- Следите за состоянием зубов, которые были раньше депульпированы.
Наличие постоянного стоматолога также поможет вам уберечь себя от появления кисты. Дело в том, что врач, занимающийся вашими зубами на протяжении многих лет, хорошо знает состояние ваших зубов и десен. Он имеет доступ к всем вашим рентгеновским снимкам, медицинской карточке с описанием выполненных работ. Владение этой информацией поможет опытному врачу предупредить возможность появления болезни и диагностировать ее на ранней стадии образования.
Никогда не экономьте на качестве лечения и пломбирования зубов — если он запломбирован тщательно и хорошими материалами, это предотвратит дальнейшее проникновение инфекции внутрь зуба.
Некоторые пациенты боятся, что киста не излечима. На самом деле это не так. Современные методы лечения позволяют не только полностью избавиться от заболевания, но и сохранить зуб в целости и сохранности — при условии своевременного обращения к врачу. Своевременная резекция кисты зуба позволяет навсегда забыть о перенесенном заболевании. После удаления врач подскажет, как снять опухоль и боль.
Систематическое посещение врача, тщательная гигиена полости рта, своевременное лечение больных зубов и систематическое рентгенологическое исследование зубов помогут вам навсегда избавиться от страха, что у вас образуется киста. И даже если она все же, несмотря ни на что, появится, ранняя диагностика позволит в кратчайшие сроки терапевтическим способом от нее избавиться, без удаления зуба и проведения разнообразных хирургических вмешательств.
Источник



